image

ATTENZIONE:

Se vedi un messaggio di errore qui sotto, scrivi a support@formadentis.com per risolvere la situazione.

VIDEOLEZIONE GRATUITA
PER DENTIST
Chirurgia Mucogengivale:
Trucchi e consigli poco noti sul prelievo dal palato e la passivazione del lembo
Le 2 manovre di base della mucogengivale che ogni dentista deve conoscere
- Dr. Eugenio Longo -
VIDEOLEZIONE GRATUITA
PER DENTISTI
Chirurgia Mucogengivale:
Trucchi e consigli poco noti sul prelievo dal palato e la passivazione del lembo

Le 2 manovre di base della mucogengivale che ogni dentista deve conoscere
- Dr. Eugenio Longo -
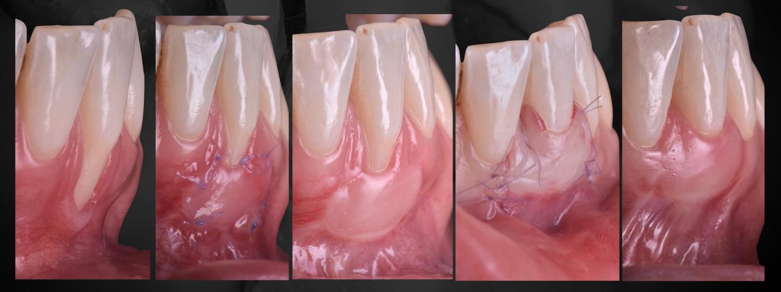
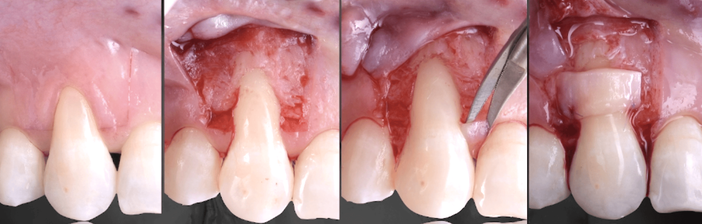
Partiamo da un concetto che forse a molti sfugge: in parodontologia ogni chirurgia, dalla più semplice alla GRB più complessa, inizia con una mucogengivale.

Decidere dove incidere, come scolpire un lembo, fare un prelievo dal palato, scollare e mobilizzare un lembo, fare una sutura compressiva... sono tutte manovre da mucogengivale!

Tutto ciò che fai quando devi coprire una piccola recessione su un canino, te lo ritrovi anche negli interventi più complessi di rigenerativa o implantologia.

Mucogengivale | Eugenio Longo | FormaDentis
Ecco perchè ogni dentista che si approccia alla chirurgia deve proprio partire da qui.

Imparare a coprire le recessioni ti dà tutte le competenze per gli interventi più complessi.
Chi per la prima volta si approccia alla mucogengivale è spesso frenato dalla:
  • paura di non saper prevedere il potenziale di guarigione
  • paura ​che dopo un mese la recessione sia uguale a prima
  • ​paura di fenestrare il lembo
  • ​paura di fare danni al mentoniero
  • ​paura di sanguinamenti dal palato durante un prelievo
  • ​paura di non saper come combinare la quinta classe in composito con il lembo
Sono paure normali per chi non ha esperienza, anche io le avevo.
Ecco perchè ho voluto preparare questa videolezione.

Voglio toglierti alcune paure e farti chiarezza su 2 manovre che farai spessisimo: il prelievo dal palato e la mobilizzazione del lembo.

Mucogengivale | Eugenio Longo | FormaDentis
Ci sono tante tecniche diverse: alcune molto datate, altre davvero molto performanti in termini di velocità, sicurezza e comfort post-op.

Se segui attentamente i consigli che ti darò, eviterai parecchi guai.
Te lo voglio dimostrare in questa videolezione gratuita dove vedremo:
  • un confronto tra le diverse tecniche di prelievo dal palato
  • le cose davvero importanti per un prelievo di qualità
  • ​come ridurre il dolore post-op
  • ​come semplificare il prelievo e ridurre i tempi operativi a pochi minuti
  • ​come "davvero" passivizzare un lembo spostato coronalmente
  • ​come gestire la componente muscolare del lembo
Chi Sono
Dr. Eugenio Longo
Dr. Eugenio Longo | FormaDentis
Dr. Eugenio Longo

Mi sono laureato in Odontoiatria e Protesi Dentaria presso l'Università degli Studi di Siena nel 2009 con votazione di 110/110 e Lode, discutendo una tesi sulla tecnica per l'inserimento degli impianti nelle zone estetiche della bocca.

Nel 2011 ho ricevuto la Borsa di Studio Biomet 3i per la ricerca clinica.

Dal 2009 al 2012 ho lavorato come medico interno nel reparto di Parodontologia e Implantologia della Clinica Odontostomatologica dell'Ospedale Santa Maria delle Scotte di Siena.

Mi sono perfezionato in chirurgia implantare e ricostruttiva avanzata presso la Clinica Ipeno in Brasile (2012) e in chirurgia ossea ricostruttiva presso l'Università Uninove di San Paolo (2013).

Dal 2014 sono tutor e docente presso il corso pratico di chirurgia implantare e mucogengivale dell'Università Uninove, San Paolo.

Ho ricevuto il premio per il miglior caso clinico al Congresso Nazionale Amici di Brugg (2017) e all'Italian Academy of Osteointegration (2018).

Professore a contratto presso l'Università degli Studi di Genova.

Docente ai Master di Estetica (Università di Genova, 2018-2019), Parodontologia (Università di Firenze, 2018-2019), Odontoiatria Digitale (Università di Brescia, 2020-2024), Implantologia (Università Vanvitelli Napoli, 2021-2022) e Implantologia (Università di Brescia, 2023-2024).

Socio Attivo della Italian Academy of Osteointegration e della Italian Academy of Esthetic Dentistry.

Relatore su tematiche di parodontologia e implantologia in Italia e all'estero.

Copyright © 2021 - 2026 | All Rights Reserved
Tutti i Diritti sono riservati. E' vietata qualsiasi riproduzione, anche parziale.

Proudly Powered by FormaDentis®

FormaDentis® è un marchio registrato concesso in licenza a FD Education LLP
Registered Office: 15 Hanover Square Mayfair, London, United Kingdom, W1S 1HS
Company Number: OC455568

Disclaimer: The online courses are intended exclusively for business customers (B2B) with a valid VAT number or equivalent tax registration number. All prices are exclusive of VAT.

Questo sito non fa parte del sito Facebook o Facebook Inc. Inoltre, questo sito NON è approvato da Facebook in alcun modo. Facebook è un marchio registrato di FACEBOOK, Inc.
This website is not part of Facebook or Facebook Inc. Additionally, this site is NOT endorsed by Facebook in any way, Facebook is a trademark of FACEBOOK, Inc.